Dental crown treatment near you

A dental crown is a cap placed over a damaged tooth to restore shape and function. Learn how this procedure can improve your oral health and enhance your smile.

3 benefits of dental crowns

1. Cosmetic solution

Conceal discolored or misshapen teeth, and correct teeth misalignments.

2. Protective solution

Prevent breaking after a root canal or large filling, or repair cracks.

3. Finishing touch

Fill gaps and create covers for dental implants when combined with bridges.

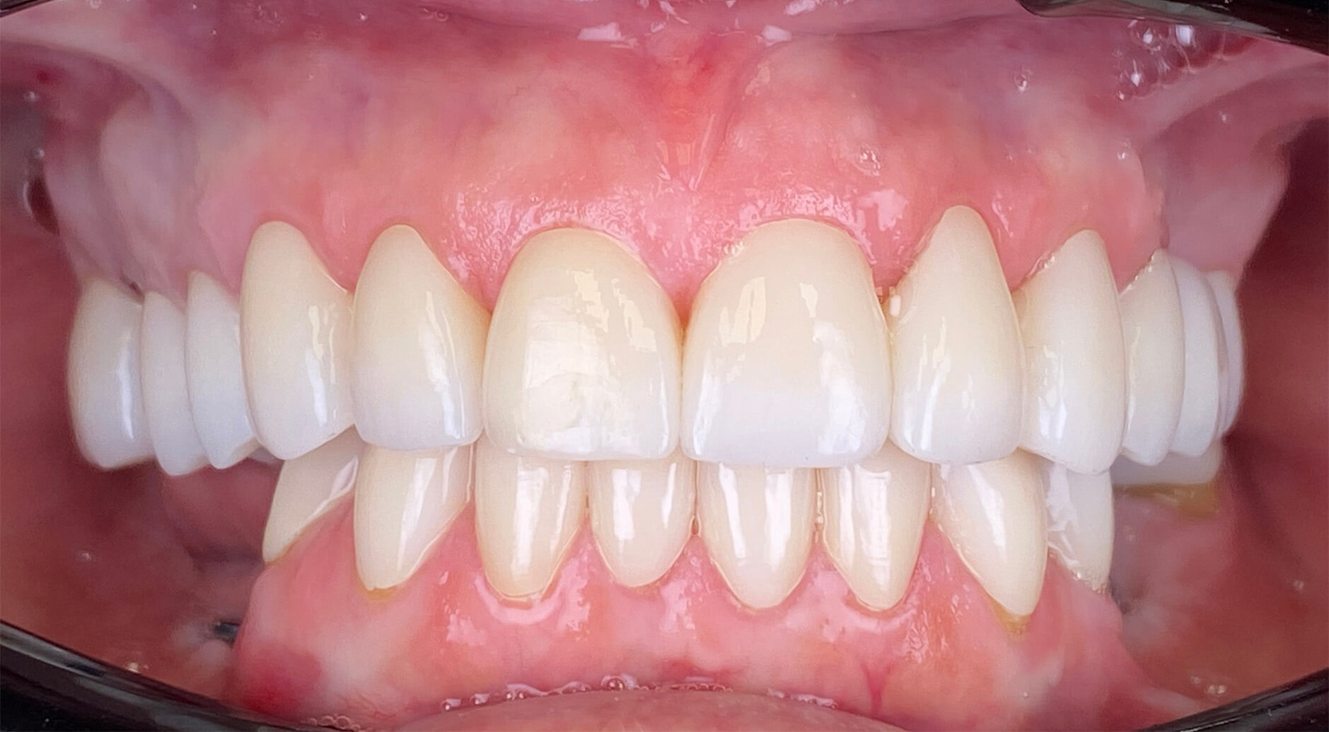
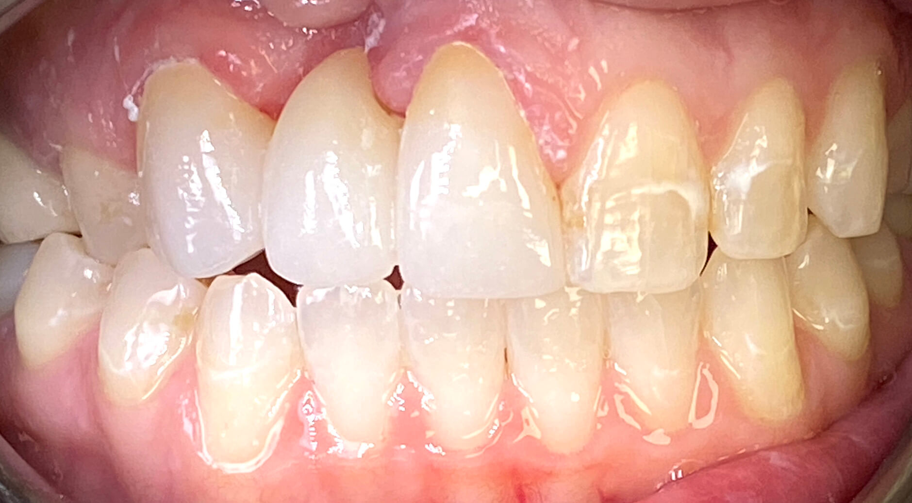
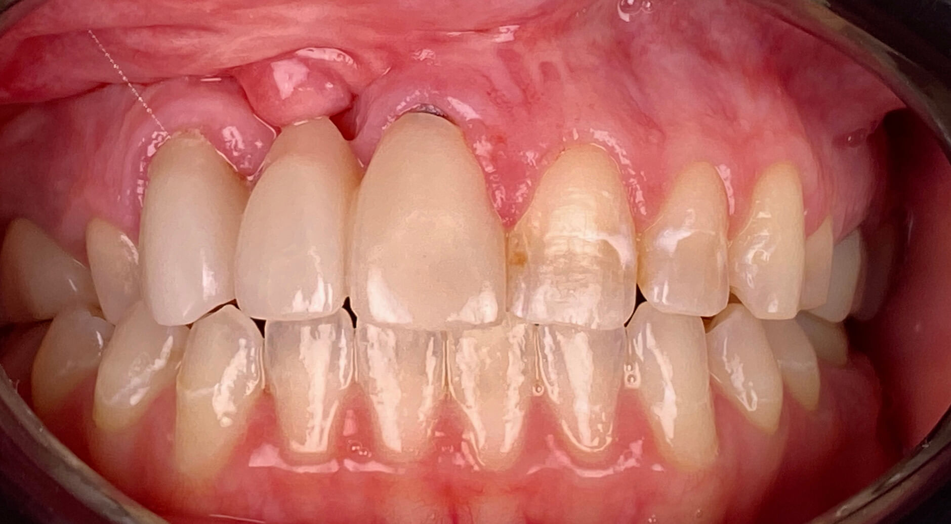
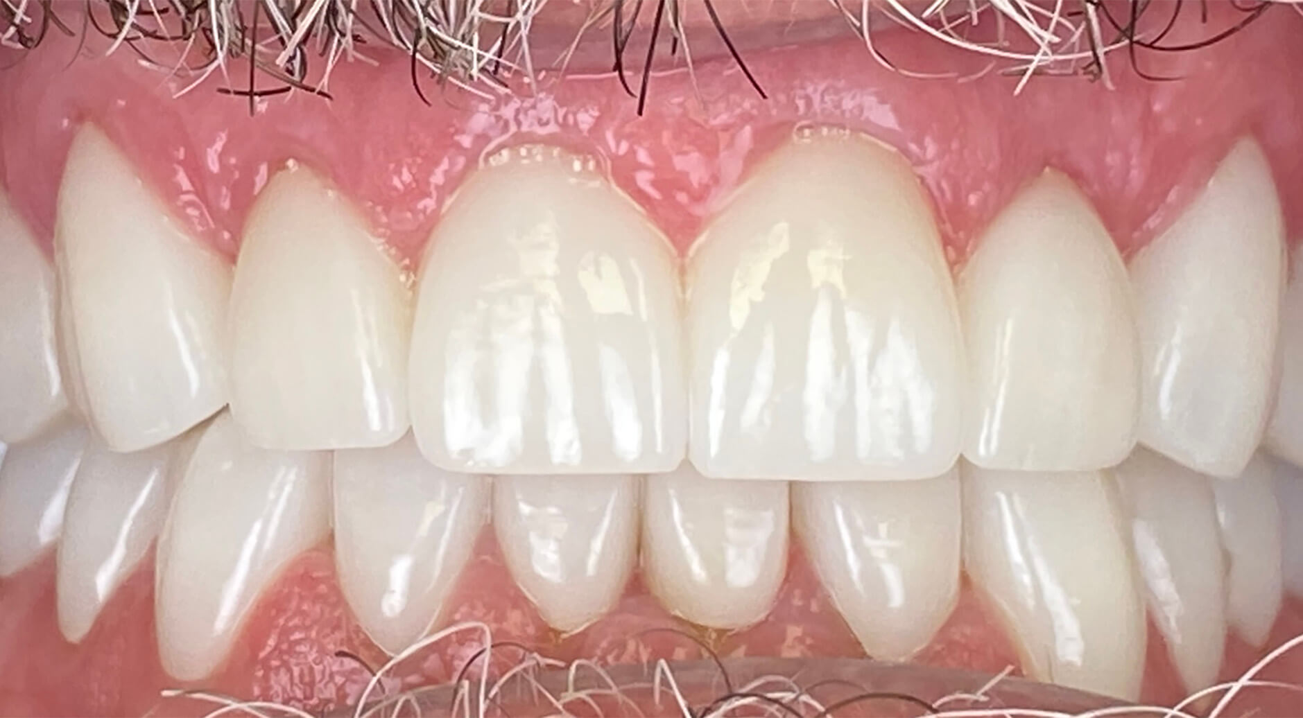
What is a dental crown?

Dental crowns are an effective solution to restore damaged teeth. At Radix Dentistry, our dentists will recommend a crown solution based on your specific dental needs. Although the cost of crowns may vary, 98% of Radix Dentistry dentists suggest porcelain crowns for a long-lasting and beautiful smile.

4 steps to your new dental crown

When you visit Radix Dentistry, they will help you get a new tooth if it is damaged. Here are the steps they will take to give you a new tooth:

Step 1
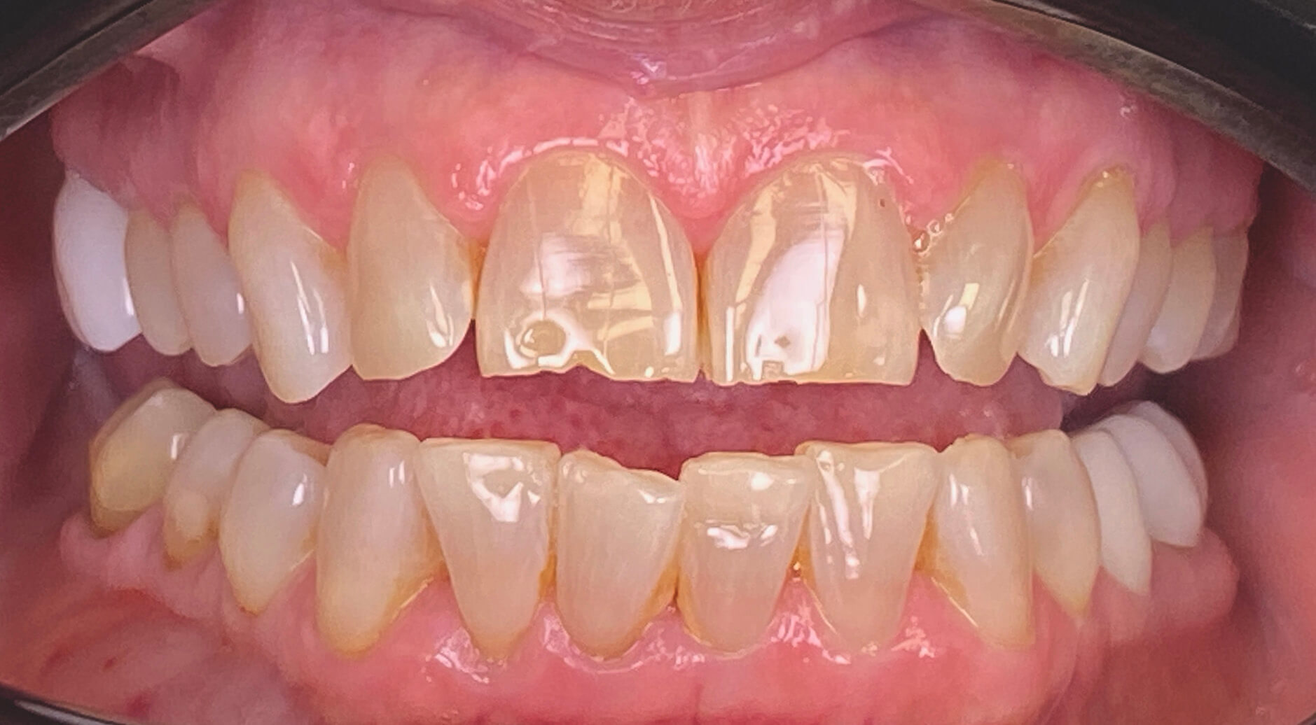
Tooth preparation

Tooth Preparation During your first visit, the dental care team will remove the outer layer of your tooth to prepare it for the crown.

Step 2
Impression or scan

Impression or Scan Next, the dentist will take an impression or a digital scan of your tooth to create your permanent crown.

Step 3
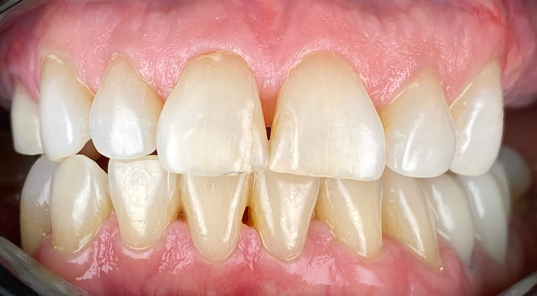
Temporary Crown

Temporary Crown After that, a temporary crown will be placed on your tooth to protect it while you wait for your permanent crown. The process usually takes 2-3 weeks.

Step 4
Permanent crown

During your second visit, the permanent crown will be placed, adjusted, and cemented as part of your new smile.

From one tooth to full mouth restoration

Explore your options today with your Radix Dentistry care team.

Comprehensive dental crowns guide

Learn what you can expect from a dental crown procedure with our guide that outlines the benefits, types of crowns, processes, and good crown care.

Learn about the costs of a crown.

Plan ahead with transparent pricing and factors that can affect the cost of your dental crown treatment plan.  Composite crowns start at $300. 3D crowns start at $600.  Porcelain Crowns start at $900.

Choosing dental implants over a crown.

The best and longest-lasting solution for restoring your smile is dental implants, which can replace a single tooth or your entire smile with teeth crafted to look and feel like your own.

No insurance? No worries.

Care is always accessible with Radix Dentistry, that’s why your full exam and X-rays are on us if you’re a new patient and 21 or older. Schedule today and get 25% off your care.

up to

25% off

dental crowns

ONLY $900 DENTAL CROWN & BUILDUP

Save even more in 2024

No insurance? No worries. Our everyday low pricing is up to 30% less than local competitors.

Dental crowns FAQ’s

What is a dental crown?

A dental crown is a cap shaped like a tooth placed over a damaged tooth to restore strength and appearance. At Radix Dentistry, we customize your crown to fit your tooth and its specific needs so that you can get the most out of your smile.

Why do I need a dental crown?

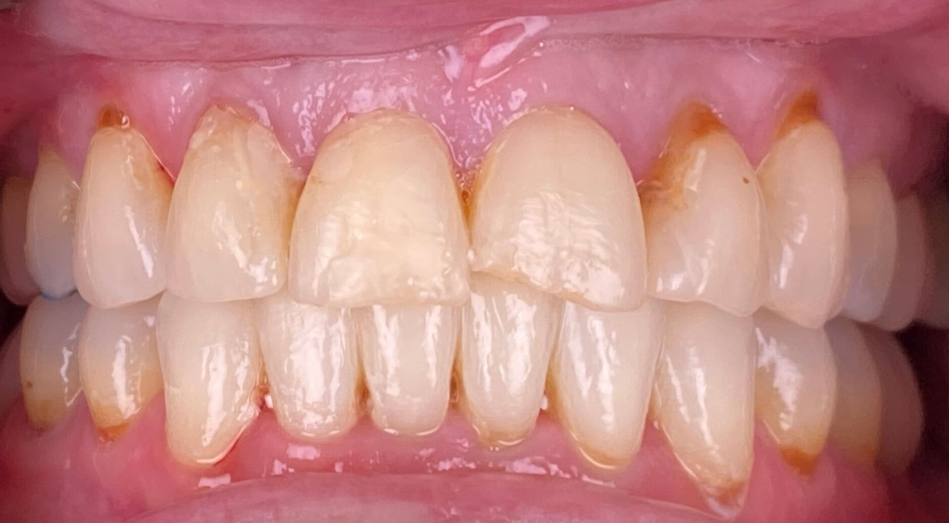
If you have a weakened or cracked tooth or recently received treatment, such as root canal therapy, that has made your tooth vulnerable, you may need a dental crown. Dental crowns are a common way to give your teeth additional support to keep your smile healthy and strong.

Do I need a dental crown after a root canal?

Dentists often recommend placing a dental crown after a root canal to protect the treated tooth. Speak with your Radix Dentistry dentist to determine what works best for your smile.

How long does it take to get a dental crown?

Getting a dental crown is a straightforward process that usually takes two to six weeks to complete treatment. While typically completed in two visits, the process can vary from patient to patient. Generally, two trips to your local Radix Dentistry dentist are necessary to get your permanent crown placed.

During your first visit, we’ll take an impression or a digital scan of your smile and place the temporary crown.

On your second visit, we’ll prepare your tooth and replace the temporary crown with your new permanent one. We’ll then seal your new permanent crown into place.

Are dental crowns painful?

Thankfully, placing a dental crown is typically not a painful experience. Your tooth and surrounding area will be numbed to keep you comfortable before the procedure. If you experience mild discomfort, you can take pain medication after the procedure. Any irritation should subside within a few days.

How long will my dental crown last?

With proper care, your dental crown can last an average of 10 to 15 years. Several factors can impact the effectiveness of your dental crown, such as oral hygiene, biting force, and dental care. Ask a dentist near you to learn more.

How do I care for a dental crown?

Caring for your dental crown is similar to caring for your natural teeth. We recommend brushing twice daily, flossing daily, and attending regular dental checkups and hygiene appointments. To be safe and preserve your dental crown, it’s also best to avoid chewing on hard foods like pretzels and seeds.

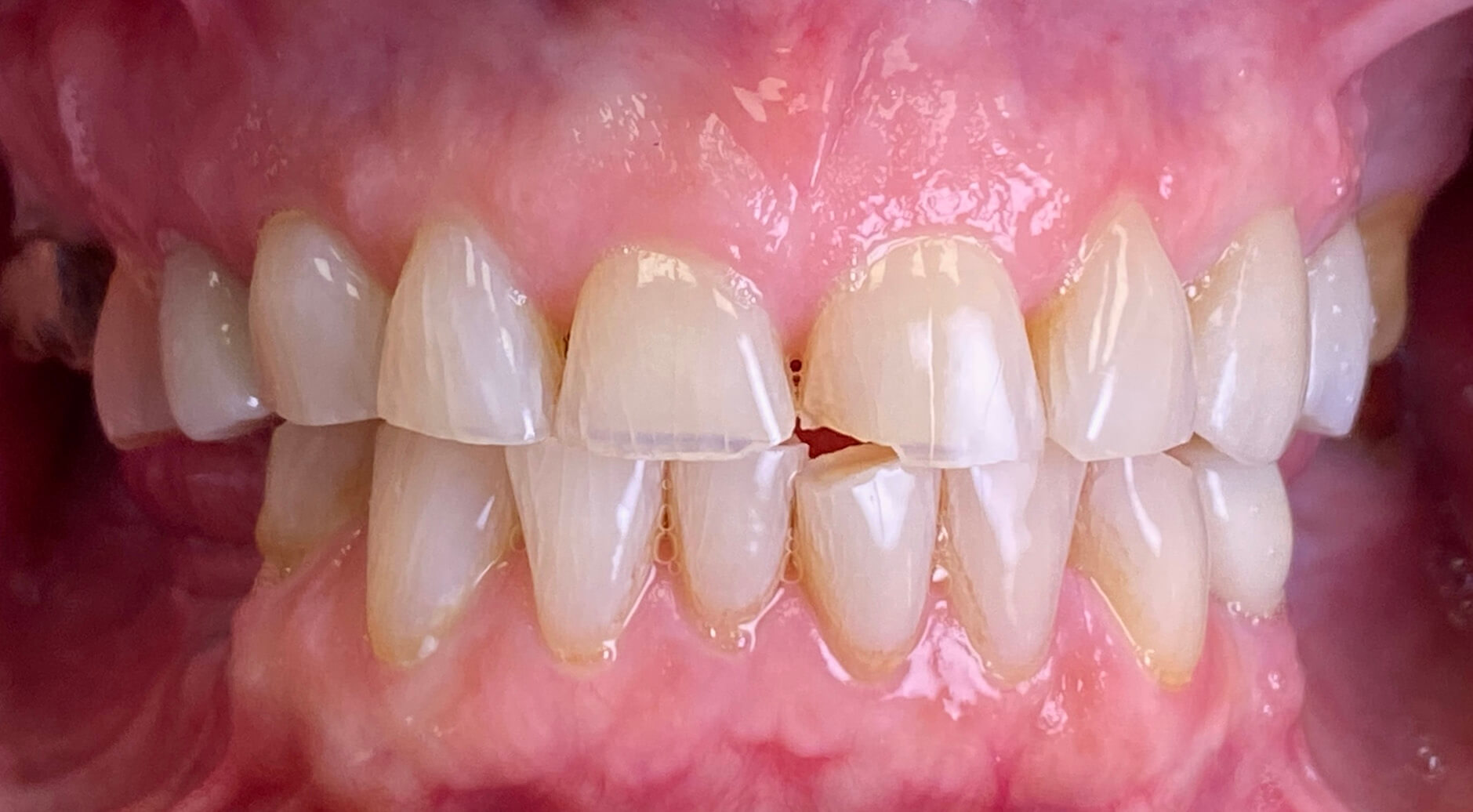
Can dental crowns be replaced if needed?

With proper care, dental crowns can last a long time. However, seal deterioration usually results from bacteria or acid. If your crown is damaged, loose, or worn out, your local Radix Dentistry dentist can replace it so you can return to eating and smiling comfortably. To do so, they’ll assess the condition of your crown to recommend the best treatment for you.

Are there any alternatives to dental crowns?

Depending on the specific dental issue, alternatives to dental crowns can include dental veneers, inlays/onlays, or orthodontic treatment. However, if a dental crown has been prescribed, it is the best solution for retaining a tooth. Your local Radix Dentistry dentist will evaluate your situation to recommend the best option for your smile.

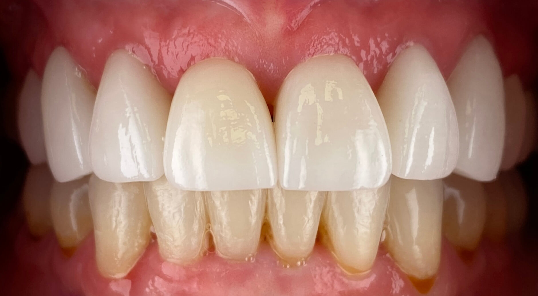
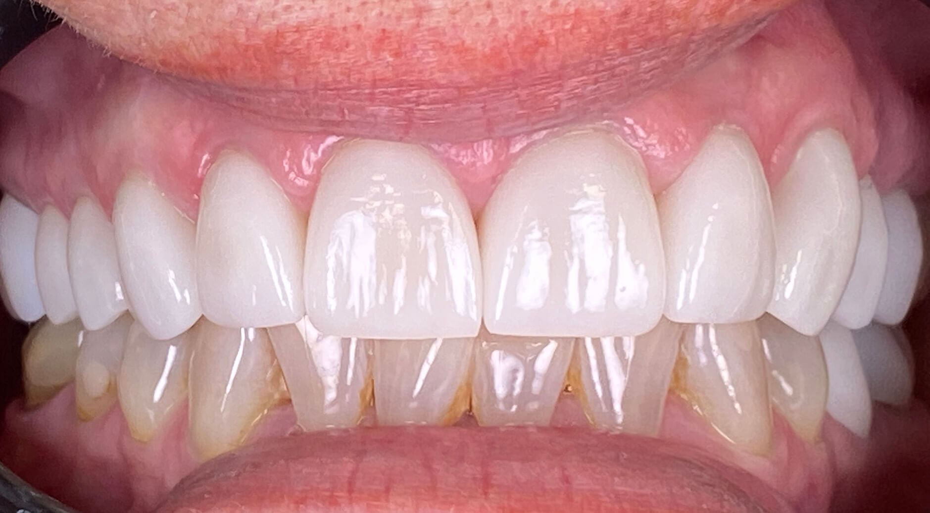
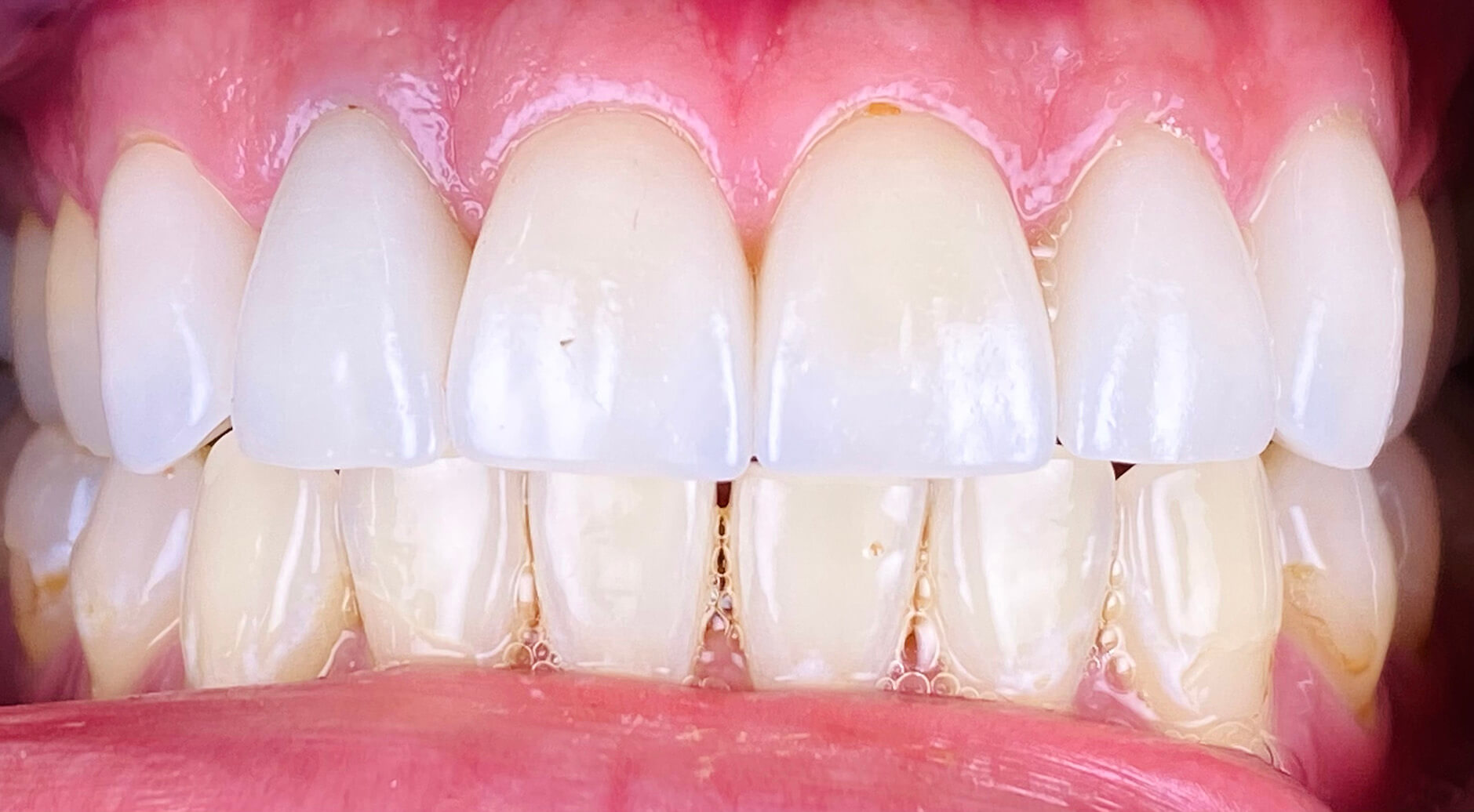
Do dental crowns look natural?

Absolutely. Dental crowns are intentionally designed to resemble natural teeth, so we use high-quality materials like porcelain and ceramic to mimic their look and feel. Schedule an appointment at a Radix Dentistry near you to learn more.

Does dental insurance cover the cost of dental crowns?

Dental insurance coverage varies based on your insurance plan. Some insurance plans cover a portion of the cost of a dental crown, while others do not. It’s best to check with your insurance provider to determine your eligibility. We accept Medicaid.

If you don’t currently have dental insurance, no worries. We’re happy to connect you with third-party financing to ensure you get the care you deserve, or you can explore our flexible alternative to insurance: Radix Dentistry Finance Plan.

What does a crown on a tooth look like?

A dental crown looks just like a natural tooth. Dentists encase the visible portion of your damaged tooth with a tooth-shaped cap called a crown. This enhances it to its original color, size, and shape.

What are tooth crowns made of?

Dental crowns are made from various materials to provide a durable and aesthetic solution for your smile. Here’s a closer look at some of the materials used for dental crowns:

Metal alloys: These crowns are known for their strength and durability. They are a great option for posterior teeth crowns.

Porcelain fused to metal: Porcelain fused to metal crowns combine the strength of metal with the aesthetic appeal of porcelain.

Ceramic materials: Crowns made from ceramic are made of strong materials like alumina. They are designed to closely resemble teeth’ natural color and texture, making them a nice option for an anterior tooth crown.

Zirconia: Zirconia crowns are the ultimate combination of strength and natural aesthetics. That’s why we recommend it as a material of choice.

Why do dentists put crowns on teeth?

There are various reasons why your dentist may suggest a crown as a treatment option. Crowns are mainly used to protect weak teeth, correct bite and alignment issues, and improve the appearance of your smile. When a tooth has been damaged by decay, injury, or previous restorations, a crown can be placed over it to act like a helmet. For instance, if a filling becomes loose and falls out, this tooth will likely need the protection of a crown. Crowns can also be used to cover a tooth that has undergone a root canal when a previous restoration is deteriorating, and they can be used to cover dental implants. When one or more teeth are missing, a series of crowns, called a dental bridge, can provide a permanent solution.

How are crowns put on teeth?

When one or more teeth are missing, a series of crowns, called a dental bridge, can provide a permanent solution.

Crowns are put on teeth by first preparing the tooth by removing any damage or decay. Then, the dentist will shape the tooth to fit the crown. An impression is taken of the tooth and sent to a dental laboratory, where the crown is made to fit your tooth precisely. In the meantime, a temporary crown is placed on the tooth. When the permanent crown is ready, the temporary crown is removed, and the permanent crown is cemented onto the tooth.

Where can I get a crown for my tooth?

It’s best to visit your local Radix Dentistry care team to get a crown for your tooth. Your dentist will assess your tooth and determine the best treatment unique to your needs.

Our Doctors’ Affiliations